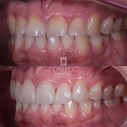
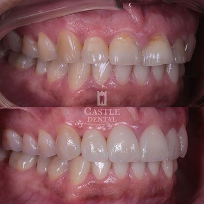
Porcelain Veneers: Case 24
Description
Emax Veneers
Emax Veneers
Welcome to Castle Dental in Los Algodones, Mexico. We are a team of dental professionals led by siblings, Dr. Arturo Beltran, Dr. Saul Beltran, and Stephanie Beltran. We strive to provide comfortable dental care to help patients achieve healthy and beautiful smiles. Our services include:
Request a free consultation with us by contacting us online or by calling us at: (928) 287-4736.
